
58岁的林先生怎么也没想到,困扰他三个月的鼻腔顽疾,源头竟是一枚“藏”了40年的螺丝钉。

3月7日,林先生因鼻子持续流脓鼻涕、伴有明显异味,来到十堰市太和医院耳鼻咽喉头颈外科就诊。接诊医生蔡正敏锐地意识到:成年人鼻腔异味的背后,很可能藏着“意外”。
反复追问下,一段尘封40年的记忆被唤醒——林先生回忆,年轻时玩猎枪时,曾有金属物从颌面部擦过,当时只简单包扎了事。三年前做核磁共振时突遭“电击感”,医生提醒体内可能有金属,他才隐约想起那次意外。
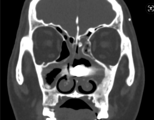
CT检查印证了推断:左侧鼻腔内果然有一高密度异物!
3月10日,邹帆专家团队在全麻下为其实施手术。由于异物留存太久,已被肉芽组织紧紧包裹,手术难度陡增。但凭借精准操作,团队仅用35分钟,就将一枚长约3厘米的螺丝钉完整取出。

术后林先生恢复良好,已康复出院。医生叮嘱:鼻窦炎系异物长期刺激所致,取出后规范治疗即可。
来源:极目新闻
道正网配资提示:文章来自网络,不代表本站观点。